カテゴリー:
前歯の白い斑点が気になる方へ|福岡市西区姪浜でできるアイコン治療と今後の流れ
今日は、前歯にできる “ホワイトスポット(白いシミ)” にお悩みの方へ向けて、当院で行っている Icon(アイコン)治療をご紹介します。
ホワイトスポットは、歯の表面のエナメル質がうまく形成されなかったり、矯正後の脱灰によって現れたりと、原因はさまざまです。
「虫歯ではないけれど気になる…」「写真を見ると白い部分だけ浮いて見える…」と、見た目でお悩みになることが多い症状です。
今回の患者さまも、前歯の白いシミがずっと気になっていたとのことでご相談いただきました。
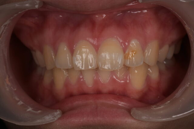
まずは治療前のお写真をご覧いただくと、歯の色味自体がやや濃く、その中で白い部分が余計に目立ってしまう状態でした。

当院では、できるだけ歯を削らずに、自然に馴染ませる方向で治療したいと考えています。そのため、今回は **アイコン(レジン浸潤法)**を選択しました。
薬液で表面を整え、乾燥させ、低粘性のレジンを内部へじっくり浸透させます。歯の内部の空隙に光が通りやすくなることで、白さがやわらぎ、周囲の色と馴染んでいきます。
途中経過の写真では、白い部分が少しずつ薄くなり、全体とのバランスが整っていく様子がはっきり確認できました。

治療後の写真では、処置前と比べて白斑の主張がやわらぎ、口元全体の印象も落ち着いて見えます。

ただ、今回の患者さまのように 歯の色自体が濃い場合、アイコン単独では完全に理想の色調に届かないことがあります。そのため、白濁が落ち着いた段階で、最終的には ダイレクトボンディングで色調を整える予定です。
歯を大きく削らずに見た目を改善できる、とても相性の良い組み合わせ治療です。
ホワイトスポットは「削るしかない」と思われがちですが、実は負担の少ない選択肢もあります。同じようなお悩みがあれば、どうぞお気軽にご相談ください。あなたの笑顔がもっと自然で、自信の持てるものになるよう、精一杯お手伝いさせていただきます。



