カテゴリー:
-
ダイレクトボンディングホワイトニング審美治療虫歯治療
前歯の変色を削らずに改善|ホワイトニング+ダイレクトボンディング症例

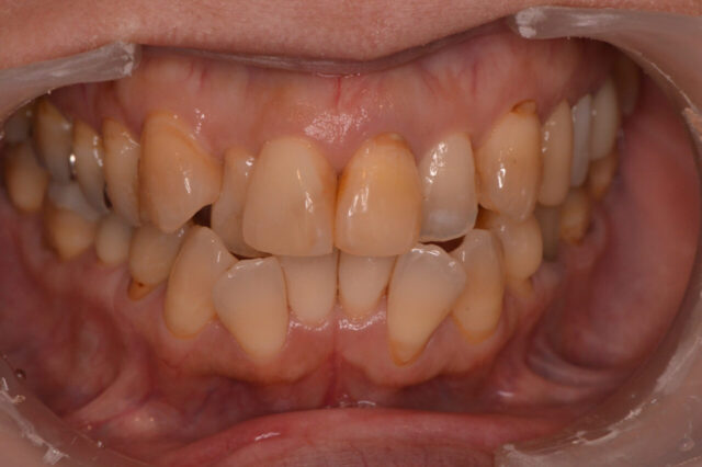
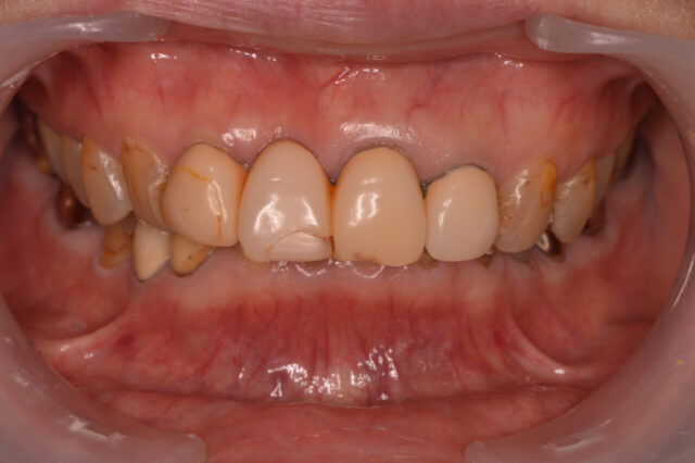
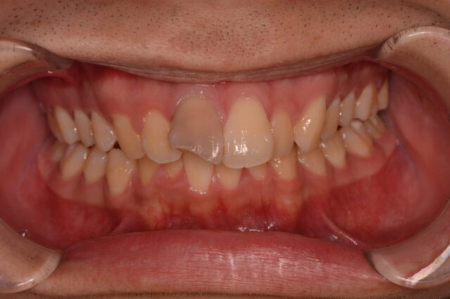
before

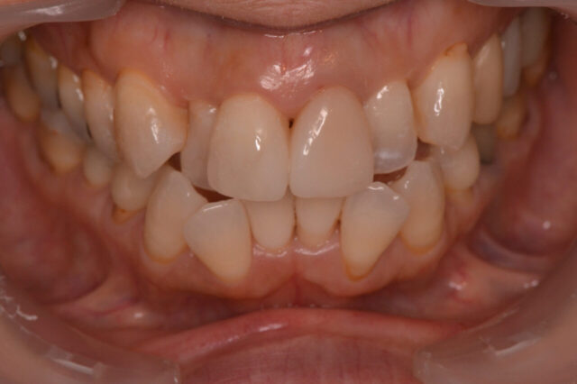
after
性別 女性 主訴 「前歯の色が気になる」「できれば削らずにきれいにしたい」というご相談で来院されました。 治療 診査の結果、前歯には失活歯による内部からの変色(いわゆる黒ずみ)が認められました。
通常であれば、ラミネートベニアやセラミッククラウンによる修復が検討されるケースです。
しかし本症例では、歯質の保存を最優先に考え、以下の治療を選択しました。
インターナルブリーチ(ウォーキングブリーチ)による内部漂白
色調改善後にダイレクトボンディングによる形態・色調修正
まず歯の内部に漂白剤を作用させることで、歯質自体の明度を改善。
その後、周囲の歯との色調バランスを考慮しながらコンポジットレジンにて微調整を行いました。
結果として、歯を大きく削ることなく、自然で調和のとれた前歯の審美性を回復することができました。料金 1本10万円+tax 備考 本症例のポイントは、「削らない選択肢」を最大限活かした点にあります。
失活歯の変色に対しては、従来セラミック治療が第一選択とされることも多いですが、
インターナルブリーチを適切に行うことで、歯質を温存したまま審美改善が可能なケースも存在します。
また、ダイレクトボンディングを併用することで、
色調の微調整
透明感の再現
最小限の介入での形態修正
が可能となり、より自然な仕上がりが得られます。
一方で、
ブリーチ効果には個人差がある
後戻り(再変色)の可能性がある
定期的なメンテナンスが重要
といった点については、事前に十分な説明と同意が必要です。
「できるだけ削らずにきれいにしたい」というニーズに対して、
本症例のような低侵襲アプローチは非常に有効な選択肢の一つと考えられます。 -
根管治療
抜歯せず歯を残す治療|歯根端切除術の症例(9年経過・50代女性)

before

after
性別 女性 主訴 他院で根管治療をしていて、被せ物を入れたが。数ヶ月後膿ができてきた。担当医に抜歯しかないと言われたができるだけ歯を抜きたくない 治療 既存のブリッジが装着されている部位において、
根尖部に感染を認めました。
通常であればブリッジを除去して再根管治療を検討するケースですが、
患者様より
「また、根管治療を何回もしたくない。、ブリッジを外したくない」
という強いご希望がありました。
このような方におすすめです
抜歯をできるだけ避けたい方
被せ物やブリッジを外したくない方
根管治療で治らなかった方
他院で抜歯と言われた方
姪浜・小戸・愛宕周辺で精密治療を受けたい方料金 保険診療 備考 ブリッジを除去せずに治療を完結し、抜歯を回避し、天然歯を保存できます。
ただし、外科処置のため術後の腫れ・違和感が出る場合あり
適応には診断が重要(すべての症例に適応できるわけではありません)
術後は症状の再発もなく、
9年間にわたり良好な経過を維持しています。
レントゲン上でも骨の回復が確認され、
機能的・審美的にも安定した状態が保たれています。 -
ダイレクトボンディング審美治療虫歯治療
前歯のすきっ歯(正中離開)を1日で改善|ダイレクトボンディング症例

before

after
性別 女性 主訴 前歯のすきっ歯(正中離開)が気になる/姪浜周辺で短期間で治したい 治療 処置内容
マイクロスコープ下での精密診断
ラバーダム防湿
歯面処理(エッチング・ボンディング)
高強度コンポジットレジンによる築盛
形態・左右対称性の調整
咬合調整および最終研磨料金 1本100,000+tax 備考 歯をほとんど削らずに治療可能
即日で審美的改善が可能
将来的な修正が比較的容易
ケースによっては矯正治療が適応となる場合あり
経年的な変色・摩耗の可能性あり(定期的なメンテナンスを推奨)
このような方におすすめです
前歯のすきっ歯をすぐに治したい方
矯正までは考えていない方
歯を削りたくない方
自然な仕上がりを求めている方
姪浜・小戸・愛宕周辺で審美歯科を探している方 -
歯髄保存治療
見た目ではわからない「隠れ大きな虫歯」。神経を守るVPT(歯髄温存療法)で対応した症例

before

after
年齢 20代 性別 男性 主訴 今回の患者さんは、もともと定期検診にしっかりと通われていた意識の高い方でしたが、転勤に伴い当院へ初めて来院されました。「右上の歯が染みる」という症状があり、お口の中を拝見すると、一見しただけでは非常に小さな虫歯にしか見えません。
しかし、レントゲン検査を行うと、表面の小さな入り口とは裏腹に、内部で大きな空洞のように虫歯が広がっている像が確認されました。
患者さんには「見た目以上に虫歯が深く、治療の過程で神経に近くなる可能性があること」を事前に詳しくご説明し、可能な限り神経を残す方針で治療を開始しました治療 慎重に歯を削り進めていくと(Before/After写真参照)、やはり内部のカリエス(虫歯)は深く、神経のすぐ近くまで達していました。
通常の治療であれば神経を取る「抜髄(ばつずい)」を選択するケースも多い大きさでしたが、歯の寿命を延ばすためには神経の保存が不可欠です。そこで今回は、VPT(Vital Pulp Therapy:歯髄温存療法)を行いました。
精密な除去: マイクロスコープ(歯科用顕微鏡)を使用し、健康な組織を削りすぎないよう、感染部位のみを徹底的に除去。
MTAセメントによる封鎖: 生体親和性が高く、殺菌性・封鎖性に優れた「MTAセメント」を用いて神経を保護し、再感染を防ぐ処置を施しました。料金 4万円+税 備考 備考
本症例におけるVPTの適応および術式は、日本歯科保存学会のガイドライン、ならびに最新の臨床的エビデンスに基づき慎重に判断しています。
適応の判断: 術前の症状(自発痛の有無)やレントゲン診断、および術中の神経の露出状態や出血のコントロール具合を確認し、保存可能と診断したケースにのみ適用します。
リスクと経過観察: 処置後、一時的に痛みや違和感が出ることがありますが、経過観察を行い、神経の活性が維持されているかを定期的にチェックする必要があります。
非保険診療の検討: 本治療は、使用する薬剤(MTAセメント等)や精密な器具の関係上、自費診療(自由診療)の範囲となります。 -
審美治療根管治療虫歯治療
インプラントを使用せず、自家歯牙移植による全顎的な機能回復

before

after
主訴 「全体的にしっかりと噛めるようになりたい。あわせて、前歯の形態・色彩を整えたい」とお悩みで、福岡市西区・姪浜エリアからご来院された患者様の症例です。他院では複数の抜歯とインプラントを提案されたものの、「可能な限り天然歯を保存したい」との強いご希望がありました。 治療 治療内容:自家組織を活用した包括的歯科治療(フルマウス)
当院では、福岡市西区・姪浜周辺で精密な歯科治療をお探しの方へ、一口腔単位の健康を考慮した全顎的な咬合構成(フルマウス治療)を提案しています。
精密検査と包括的診断: 歯科用CT、口腔内写真、模型診査、および咬合分析を実施。噛み合わせが崩れた根本原因を特定し、長期的な予後を見据えた治療計画を策定しました。
インプラント以外の選択肢「自家歯移植」: 保存不可能な部位に対し、ご自身の歯を活用した「自家歯移植」を適応しました。インプラント以外の選択肢として、歯根膜組織を維持したまま移植を行うことで、天然歯に近い生理的な咬合感覚の再現を図っています。
歯内療法および初期治療: 温存可能な残存歯については、マイクロスコープを用いた精密な根管治療虫歯治療および歯周病治療を行い、基礎となる天然歯の保存に努めました。
審美補綴(セラミックス治療): 最終補綴物として、生体親和性が高くプラークの付着しにくいオールセラミックスを採用。機能的な咬合の再構築とともに、自然で美しい口元の回復を行いました。料金 補綴治療(1本あたり)→16万円+ TAX
歯牙移植→保険適応
備考 自家歯移植の意義: 自家組織を利用するため拒絶反応が少なく、歯根膜による緩衝能(クッション性)を保持できることが最大の利点です。
地域に根ざした高度治療: 福岡市西区や姪浜にお住まいの、インプラントに抵抗がある方や、ご自身の歯を大切にしたい方にとって、移植は有効な選択肢の一つとなります。
リスク・副作用: 自家歯移植は、移植後の歯根吸収や脱落のリスクがゼロではありません。また、セラミックスは過度な衝撃により破折する可能性があります



