カテゴリー:
年末までに治しておきたい歯のトラブル5選|姪浜の池尻歯科医院
気づけばもう年の瀬。
慌ただしい毎日の中で、「ちょっと気になるけど放置していた歯の痛み」や、「しみるけれど忙しくて行けなかった」というお声を、12月はとくに多く耳にします。
年末はお仕事や家の用事が一段落し、心にも時間にも少しだけ余裕が生まれる季節。
そんな今こそ、来年を気持ちよく迎えるために“歯のトラブルを片付けるには最適なタイミング”です。
この記事では、池尻歯科医院に通われる患者さんからのご相談をもとに、年内に治しておきたい代表的な歯のトラブル5つをまとめました。
「これ、もしかして自分のことかも…」という症状がありましたら、どうかお早めにご相談ください。
なぜ“年末前”の治療がおすすめなのか?
■ 冬は痛みが強く出やすい季節
気温が下がると、歯の内部にある神経が敏感になり、
「しみる」「ズキッとくる」などの症状が強まりやすくなります。
■ 年末年始は歯科医院がお休みに入る
12月後半〜1月上旬は歯科医院が長めに休診することが多く、
“痛くなったのにどこも開いていない”という事態に陥りがちです。
■ 痛みの原因は年内のうちに“芽”を取っておくと安心
年末年始の食事は、熱いもの・冷たいもの・硬いものなど刺激が多いものばかり。
症状がある方は、休暇中に悪化するケースも少なくありません。
年内に治しておきたい歯のトラブル5選
ここからは、池尻歯科医院でこの時期に特に増えるご相談を、症状別にわかりやすく解説します。
①ズキズキ痛む虫歯
「冷たいものがしみる」
「噛むとズキッと痛む」
「夜になると強くなる」
こうした症状がある場合、虫歯が神経に近いところまで進んでいる可能性があります。
虫歯は放置しても治ることはありません。

虫歯が神経まで到達しており痛み止めが効かないケースも、、
年末年始に急に痛みが悪化すると、救急外来でも応急処置しかできず、苦しい思いをする方もたくさんおられます。
▸ 池尻歯科医院のこだわり
マイクロスコープを使い、できるかぎり**神経を残す・歯を残す“保存治療”**を行っています。
削る量を最小限に抑えるため、治療後の歯の寿命にも大きく差が出ます。
②詰め物(銀歯・樹脂)が取れた/浮いている
意外と多いのがこのトラブル。
「痛くないから後でいいや」と放置してしまい、
年末に内部が大きな虫歯になっていた…というケースは珍しくありません。
詰め物が外れる=すき間から細菌が入り込み、内部で虫歯が進行している可能性が高い状態です。

被せ物の内部が虫歯でドロドロになってます
▸ 早めの対応がおすすめ
外れた直後なら、削る量も治療回数も最小限で済むことが多いです。
▸ 池尻歯科医院のこだわり
マイクロスコープを使って、肉眼では見えにくい細部まで丁寧に確認し、
再発しにくい精密な接着治療を行っています。
③歯がしみる(知覚過敏・初期虫歯・噛み合わせ)
冬になると「しみる」症状を訴える患者さんが増えます。
知覚過敏だけでなく、以下のような原因が隠れていることもあります。
歯ぎしり・食いしばりで歯が削れている
歯の根元が露出し、神経に刺激が伝わりやすくなっている
初期虫歯が進行している
噛み合わせが悪く負担が集中している
しみる症状は“軽いトラブルのサイン”であることが多いため、この時期の治療は非常におすすめです。
▸ 池尻歯科医院のこだわり
当院では原因を正確に特定し、
コーティング・CR修復・噛み合わせ調整など、症状に合わせた治療を選択します。
④噛むと痛い(歯の亀裂・噛み合わせ・根の炎症)
「噛んだ瞬間だけズキッと痛む」
「硬いものが当たると響く」
この場合、歯に**ひび(クラック)**が入っているケースが増えています。
冬は歯が乾燥し、割れやすくなる特徴があるため注意が必要です。
放置すると、亀裂が深くなり抜歯に至る可能性もあります。

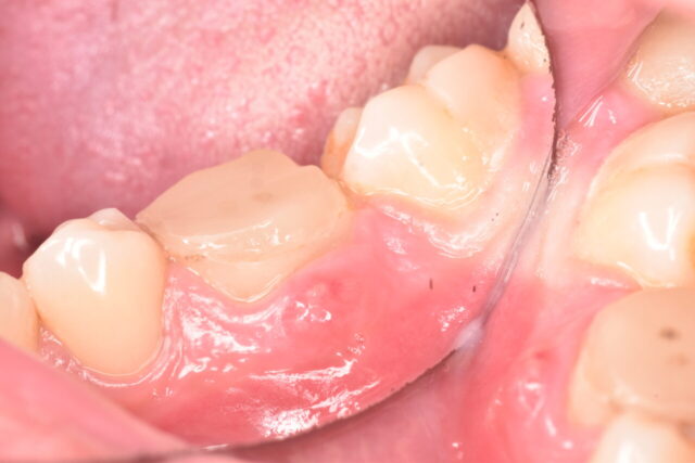
⑤歯ぐきが腫れる・膿が出る(根の病気/歯周病)
▸ 池尻歯科医院のこだわり
マイクロスコープによる精密診断で、肉眼では見えない細かな亀裂まで確認できます。
必要に応じて、精密根管治療にも対応しています。
歯ぐきが腫れる、押すと痛い、膿が出てくる…。
これらは細菌感染の典型的なサインです。
特に根の病気(根尖性歯周炎)は、放置すると激痛で夜も眠れないことがあります。
年末年始に悪化する患者さんがとても多いため、早めの受診をおすすめします。

▸ 池尻歯科医院のこだわり
根の病気にはマイクロスコープを使った精密根管治療を行い、
可能な限り歯を残すことを大切にしています。
年末の治療は“効率の良い治療計画”が立てられます
池尻歯科医院では、忙しい方でも治療が進むように、以下のような診療プランをご案内できます。
初診時にしっかりカウンセリング
①マイクロスコープ・CTを用いた精密検査
②痛みや腫れがある部分を最優先に治療
③年内にできる治療と、年明け以降の治療を計画的に分ける(「年末までになんとかしたい」という方でも、無理のない範囲で治療計画をご提案します。)

Screenshot
よくある質問
Q:応急処置だけでもしてもらえますか?
→ はい、可能です。年末は応急処置だけでも早めにご相談ください。
Q:痛み止めで乗り切るのは危険ですか?
→ 一時的に和らぎますが、根本の原因は進行します。後悔される方が多い症状のひとつです。
Q:年内の治療はどこまで進められますか?
→ 症状によって変わりますが、痛み・腫れの原因除去まではできる方がほとんどです。
まとめ|年内に“トラブルの芽”を取っておきましょう
痛みや違和感は、どれも早く治療すればするほど負担が少なく、歯を守れる確率も高くなります。
年末年始を気持ちよく過ごすためにも、どうか無理をなさらずご相談ください。
池尻歯科医院は、マイクロスコープを使った精密な保存治療で、あなたの歯を可能な限り残すお手伝いをしています。
ご予約はこちらから
092-881-7954
(※年末は混み合いやすいため、お早めにご連絡ください)



