カテゴリー:
当院では定期メンテナンスで「エアフロー」を使用しております
福岡市西区・早良区で「着色が気になる」「口の中を本格的にスッキリさせたい」と感じている方へ。
池尻歯科医院では、歯面の負担を最小限におさえた“エアフロークリーニング”を保険診療でも導入しています。
従来のクリーニングとは異なる“新しい口腔清掃体験”として、幅広い年代の方に選ばれています。
✔ エアフローとは?
エアフローは、微細パウダー×水×エア(空気)の力で、歯面のバイオフィルム(細菌の膜)や着色をやさしく落とすクリーニング方法です。
「削る」「こする」工程がほぼ無いため、痛みが苦手な方にも好評です。

こんな方におすすめ
①コーヒー・紅茶・赤ワイン・タバコの着色が気になる
②普通のクリーニングは“痛くて苦手”
③定期的に口をスッキリさせたい
④歯周病や虫歯を予防したい
⑤“自然な白さ”を取り戻したい
エアフローの特徴
痛みや刺激が少ない快適ケア
歯面を傷つけにくい
短時間で広い範囲をきれいにできる
仕上がりがツルッとして気持ち良い
「まるで歯のエステみたい」という声も多く、施術後は“口の中の軽さ”や“爽快感”を実感される患者様が多数いらっしゃいます。
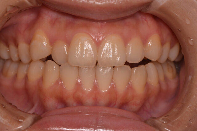
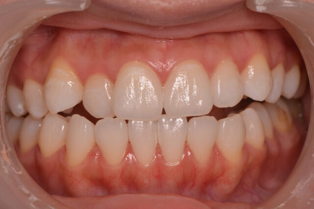
エアフローのビフォーアフター
処置前

処置後

📷 Instagramで症例動画や施術の雰囲気をご紹介中!
池尻歯科医院では、エアフローの実施風景やダイレクトボンディングなどの症例動画をInstagramにて公開しています。
「どんな治療?痛くない?どれくらいきれいになる?」
そんな疑問を、動画でリアルに確認できます。
⚠初診の方への注意点
当院では初診の保険診療をご希望の方には、口腔内の精密検査・徹底した説明・応急処置を丁寧に実施しています。
そのため、初診当日のエアフロー施術は行っておりません。
「どうしても当日にキレイにしたい」という方には、
自由診療クリーニング(歯石取り+エアフロー・60分)15,000円+TAX
をご案内しています。
さらに白い歯へ——ホワイトニングもご用意
「着色だけでなく“白さ”も追求したい」という方には、別途ホワイトニングの施術も可能です。
術前

術後

よくある質問
Q. エアフローは歯を傷つけませんか?
微細なパウダーを使用するため、従来のゴムチップや研磨ペーストより歯への負担が少ないとされています。
Q. どれくらいの頻度で受けると良い?
目安は3〜6ヶ月に1回です。
飲食習慣や喫煙の有無で適正周期は変わるため、検診時にご提案します。
Q. ホワイトニングとエアフローの違いは?
エアフロー:着色・汚れを落として“本来の白さ”へ
ホワイトニング:薬剤で“歯そのもの”を明るく白く
目的が異なりますが、併用するとより効果的です。
📞 ご相談・ご予約
TEL:092-881-7954
池尻歯科が大切にしていること
「汚れてから来院」ではなく、
汚れがつきにくい口環境を保つために通うという考え方を大切にしています。
笑顔の印象を左右する“口元の清潔感”。
あなたのライフスタイルに合わせた最適なメンテナンスをご提案します。



