カテゴリー:
右上1番の変色を「削らずに」治す|ウォーキングブリーチとダイレクトボンディングの併用症例
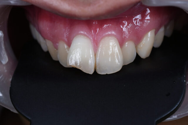
「昔、前歯をぶつけてから一本だけ色が暗くなってきた……」 「右上1番の変色が目立つ。でも、健康な歯を大きく削って被せるのは抵抗がある」
こうしたお悩みは、歯科医院では非常に多く寄せられる相談の一つです。神経を失った歯(失活歯)の変色は、表面を磨くクリーニングや通常のホワイトニングでは改善しません。しかし、最新の審美修復技術を用いれば、「削る量を最小限に抑えながら、自分の歯の白さを取り戻す」ことが可能です。
本記事では、当院が実際に行った、「ウォーキングブリーチ」と「ダイレクトボンディング」を組み合わせた症例を詳しく解説します。
1. なぜ前歯(右上1番)だけが変色するのか?
結論から述べると、主な原因は「過去の外傷による神経の失活(死んでしまうこと)」です。
変色が起こるメカニズム
外傷による損傷: 転倒や衝突で歯に強い衝撃が加わると、歯の内部の神経(歯髄)が壊死します。
色素の沈着: 神経が死ぬと、内部のタンパク質が分解され、血液成分などが象牙質の細い管に入り込みます。
変色の定着: これが時間の経過とともにグレーや茶褐色となり、歯の内側から透けて見えるようになります。
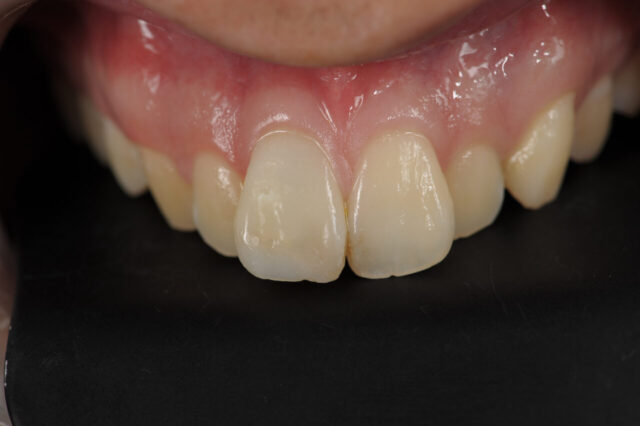
2. 削らずに白くする2ステップの治療法
池尻歯科医院では、いきなり歯を大きく削って被せ物をするのではなく、まずは「自分の歯を活かす」ことを最優先に考えます。

ステップ1:内部漂白「ウォーキングブリーチ」
通常のホワイトニングが外側から薬剤を塗布するのに対し、ウォーキングブリーチは「歯の内側」から漂白を行います。
術中の流れ: すでに神経の処置が済んでいる歯の裏側の穴(または新設した小さな穴)に、専用の漂白剤を注入して仮封します。
経過: 約1〜2週間ごとに薬剤を交換し、周囲の歯と調和するまで段階的に白くしていきます。

ステップ2:精密修復「ダイレクトボンディング」
ブリーチで色が目標まで改善した後は、薬剤を入れた穴を塞ぎ、同時に外傷で欠けていた部分を「ダイレクトボンディング」で修復します。

技術のポイント: 歯科用レジン(高精度樹脂)を直接歯に盛り付けます。複数の色をレイヤー状に重ねる「多層充填」を行うことで、天然歯特有の透明感や光沢、細かな凹凸まで再現します。


3. セラミッククラウン(被せ物)との違い
「全部被せる治療」と「今回の治療」を比較すると、最大のメリットは**「歯の寿命を削らないこと」**にあります。
比較項目 ウォーキングブリーチ×ダイレクトボンディング セラミッククラウン(被せ物)
切削量 極めて少ない(裏側に数ミリの穴のみ) 多い(歯の周囲を一周削る)
歯の寿命 歯質を多く残せるため、寿命が延びやすい やり直しを繰り返すと歯が細くなる
治療期間 2〜4回程度(ブリーチの反応による) 最短2回(型取り〜装着)
見た目 自分の歯を活かした自然な美しさ 理想的な形や向きも作れる
4. 費用とリスクについて
審美歯科治療は、見た目の改善を目的とした自由診療(自費診療)となります。
費用目安:
ウォーキングブリーチ:1歯 20000円〜(税込)
ダイレクトボンディング:1歯 100000円〜(税込) ※上記は標準的な価格です。症例により変動します。
副作用・リスク:
色の後戻り: 数年経過すると、生活習慣等により色が徐々に後戻りすることがあります。
術後の知覚症状: 一時的に違和感が出ることがあります。
強度の限界: 非常に強い衝撃が加わると、レジン部分が欠ける可能性があります。


5. よくある質問 Q&A
Q:神経のない歯はホワイトニングで白くなりますか? A: 一般的なホームホワイトニングやオフィスホワイトニングでは、内部の変色は改善しません。歯の内側から漂白する「ウォーキングブリーチ」が必要です。
Q:治療期間はどのくらいですか? A: 漂白の反応には個人差がありますが、通常2週間〜1ヶ月程度の通院(3〜4回)で完了するケースが多いです。
Q:痛くないですか? A: 神経がない歯に対する処置ですので、治療中に痛みを感じることはほとんどありません。
6. 姪浜周辺で前歯の変色にお悩みの方へ
前歯は、その人の第一印象を大きく左右する大切なパーツです。池尻歯科医院では、「右上1番」という最も目立つ部位だからこそ、拡大鏡や高精度な材料を駆使し、機能性と審美性の両立を追求しています。
「被せないと無理だと言われた」「自分の歯を削りたくない」とお悩みの方は、ぜひ一度、当院のカウンセリングへお越しください。あなたの笑顔に自信を取り戻すお手伝いをさせていただきます。



