カテゴリー:
姪浜・愛宕・小戸でホワイトニング|症例写真でわかる安心・高品質の池尻歯科医院
「歯を白くしたい」と思っても、
・すぐに戻るのでは?
・しみたり痛くならない?
・どの医院を選べばいい?
と悩む方は多いものです。特に20〜40代は、仕事・結婚式・写真撮影など人前で笑顔を見せる機会が増える年代。だからこそ安心して効果が実感できるホワイトニングが選ばれています。
池尻歯科医院のホワイトニングが選ばれる理由
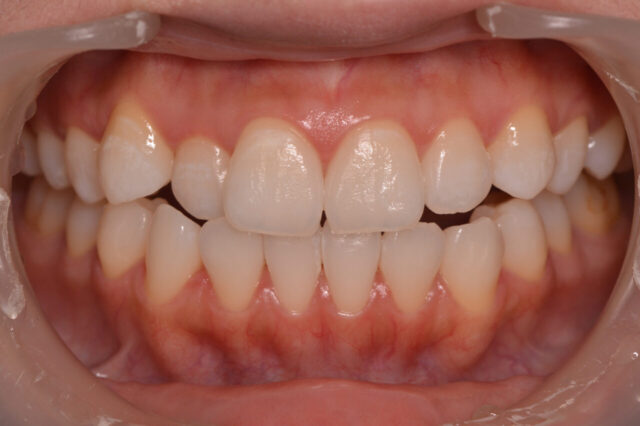
1. 6〜8回で“しっかり白くなる”プロトコル
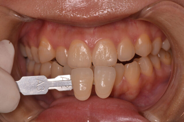
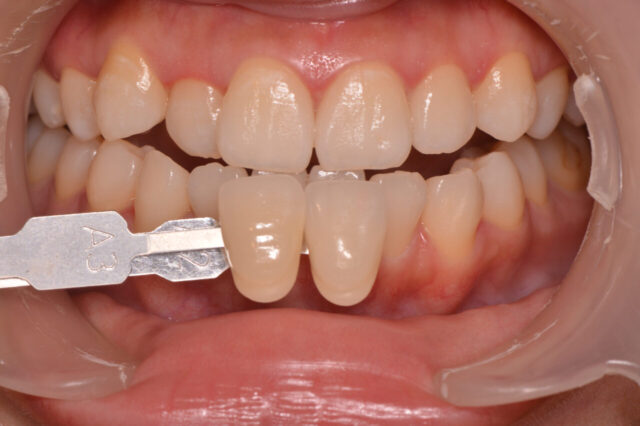
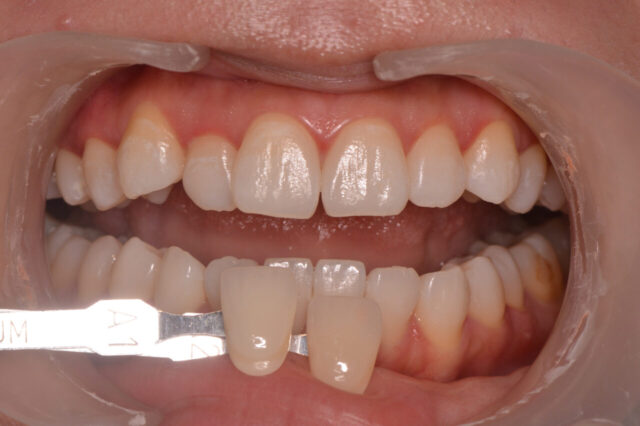
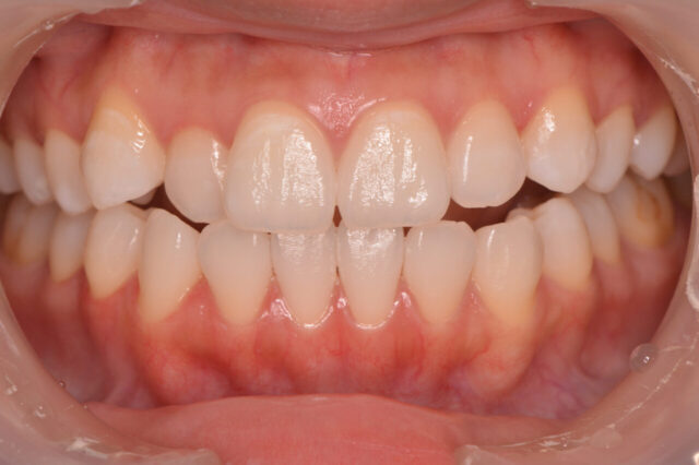
当院のホワイトニングは、1回で終わる即効性タイプではなく、6〜8回かけて自然にトーンアップする方式です。そのため、ムラの少ない仕上がりと色戻りしにくい持続性が特長です。
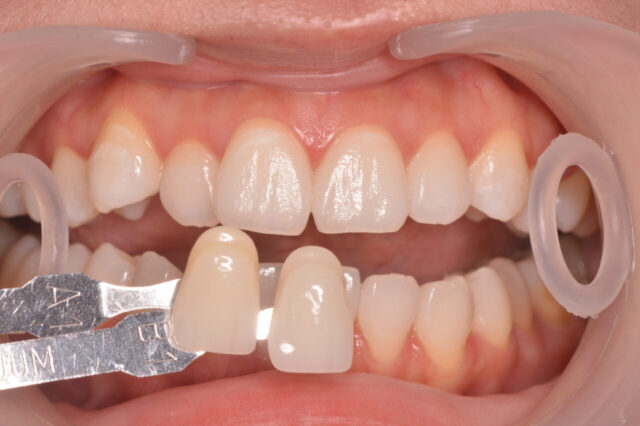
症例写真では、初回から6工程を経て「明らかな白さの変化」が確認できます。実際のシェードガイドで“何段階トーンアップしたか”を見える化しているため、安心してスタートいただけます。
初回

1週間後

2週間後

3週間後

1ヶ月後


1ヶ月半後


2. 保険の定期検診でエアフローも実施
ホワイトニングの効果を高めるには、歯面の汚れやステインの除去が欠かせません。当院では保険の定期検診内でエアフロー(微細パウダークリーニング)を行っており、ホワイトニングの前処置としても非常に有効です。
「検診+クリーニング+ホワイトニング」を一貫して行えるので、忙しい方でも効率的に通院できます。
3. 歯科医院だからできる“質の高いホワイトニング”
- 虫歯・知覚過敏などのリスクを歯科医が診断
- 高濃度薬剤を歯ぐきや歯に優しい方法で安全に使用
- 歯科衛生士がプロフェッショナルに施術・経過管理
「しみにくい工夫」や「長持ちするメンテナンス方法」まで、歯科医院ならではの安心サポートをご提供します。
4. 明朗な料金体系:45,000円(税抜)
当院のホワイトニングは45,000円(税抜/6〜8回)。
追加費用の心配がなく、症例写真で“ここまで白くなる”目安を事前に共有。イベントに合わせて逆算スケジュールのご提案も可能です。
| プラン | 回数 | 料金(税抜) | 特徴 |
|---|---|---|---|
| ホワイトニング(デンタルクリニック方式) | 6〜8回(お急ぎの方は状況に応じたプランを提案します) | 45,000円 | ムラの少ない自然な白さ/色戻りしにくい設計 |
施術の流れ(目安)
- 初診カウンセリング・口腔内チェック(リスク評価)
- 保険の定期検診でのエアフロー(歯面清掃)
- ホワイトニング開始(1〜2回目)
- 中間チェック(シェード確認・しみ対策の最適化)
- 仕上げ工程(6回目前後)
- 色戻り対策アドバイス・メンテナンス提案
まずは検診からお気軽にご相談ください
ホワイトニングは診断・クリーニング・施術・メンテナンスを一連で行うことで、安心して長持ちします。
症例写真をご覧いただきながら、ご自身に合った方法をご提案いたします。
よくある質問
しみたり痛くなりませんか?
事前にリスクを評価し、刺激を抑えるプロトコルで進めます。必要に応じて知覚過敏抑制材を併用し、無理のない工程で白さを引き上げます。
どれくらい白くなりますか?
個人差はありますが、症例写真とシェードガイドに基づき到達目安を事前に共有します。6〜8回の工程でムラの少ない自然な白さを目指します。
色戻りはしますか?
飲食習慣などで徐々に戻りますが、メンテナンスとホームケアの併用で維持が可能です。検診時のエアフローも効果的です。


