カテゴリー:
-
ダイレクトボンディング審美治療虫歯治療
メタルフリーにしたい

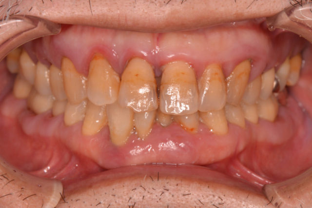
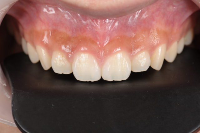
before

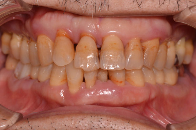
after
年齢 45歳 性別 女性 主訴 メタルフリーにしたい。 治療 インプラント・審美補綴・ダイレクトボンディング 料金 インプラント 38万円+tax
審美補綴 9万円+tax
ダイレクトボンディング 7万円+tax
※1歯の値段です備考 「メタルフリーにしたい」との主訴で来院されました。カウンセリングの際に「今後の人生、できるだけ再治療がないようにしてほしい」とのご要望もあり、汚れのつきにくいセラミック•なるべく削らないダイレクトボンディング•他の歯に負担をかけないインプラントを選択されました。
治療期間 8ヶ月
※上記のように全体治療をご希望される場合は金額、期間が多少かかる場合がございます。ご不明な点等ございましたらお気軽にご相談ください。 -
歯周病治療
口臭が気になる

before

after
年齢 65歳 性別 男性 主訴 「家族から口臭が気になると言われた」 治療 歯周基本治療(口腔清掃指導、スケーリング、SRP) 料金 保険適用 備考 治療期間 8ヶ月
主訴は口臭が気になるとのことで来院されました。お口の中を拝見したところ重度の歯周病が疑われ、まずは歯科衛生士による歯周病の治療と口腔清掃指導を行いました。
何より患者さんの頑張りもあってかなり状態は改善されております。
今後さらにオペに進んでいく予定です。
-
ダイレクトボンディング虫歯治療
なるべく削らず虫歯を治療したい。

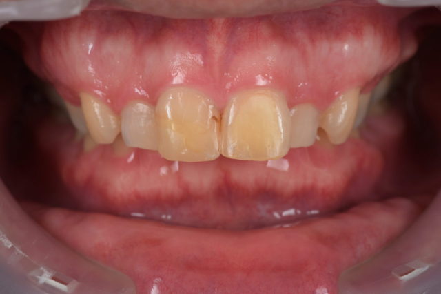
before

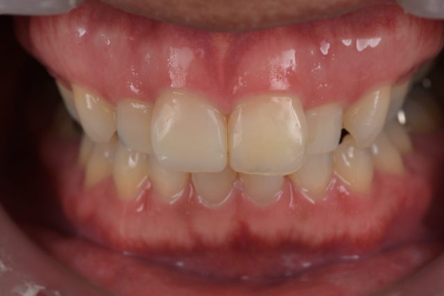
after
年齢 32 性別 女性 主訴 できるだけ削らず虫歯を治療したい。回数も少ない方がいい 治療 コンサル後、当日の治療で終わるダイレクトボンディングを選択されました。 料金 80000円+tax (1歯) 備考 ①治療回数 1回
②治療内容 ダイレクトボンディング
③治療費概算 80000+tax yen(1歯)
④リスク 当日で治療を完結させるため治療時間がかかる(1時間30分〜2時間) -
ダイレクトボンディング
短期間で前歯を綺麗にしたい

before

after
年齢 27歳 性別 女性 主訴 短期間で前歯の隙間を綺麗にしたい。出来るだけ歯を削らない方法で治療したい 治療 ダイレクトボンディング 料金 80000+tax yen
備考 ほぼ歯を削らず、専用の樹脂にて充填した
①治療回数 1回
②治療内容 ダイレクトボンディングにて治療
③治療費概算 80000+tax yen(1歯)
④リスク 当日で治療を完結させるため治療時間がかかる(1時間30分〜2時間) -
ダイレクトボンディング虫歯治療
出来るだけ削らず前歯を綺麗にしたい

before

after
年齢 42 性別 男性 主訴 前歯を綺麗にしたい。出来るだけ削りたくない 治療 ダイレクトボンディングにて治療した 料金 100000+tax yen(1歯) 備考 他院で「綺麗にするなら大きく削って被せ物にするしかない」と言われて来院。必要な箇所のみマイクロスコープ下で除去し専用の樹脂を充填した。
①治療回数 1回
②治療内容 ダイレクトボンディングにて治療
③治療費概算 100000+tax yen(1歯)
④リスク 当日で治療を完結させるため治療時間がかかる(1時間30分〜2時間)


