カテゴリー:
-
歯周病治療
福岡市西区糸島で定期検診をお考えの方へ、歯が抜けそう…から半年で口臭改善まで。歯周病治療の力

before

after
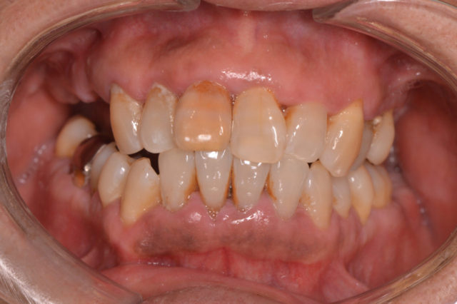
年齢 50代 性別 女性 主訴 「最近、歯がグラグラしてきて、このままだと抜けてしまいそう…」という不安から、当院に初めてお越しくださいました。
お話を伺うと、歯科医院へは痛みがあるときにだけ通院されていたそうで、なんと10年ぶりの歯医者さんとのことでした。治療 ■初診時の状態
歯ぐきは赤く腫れ、出血や歯石の沈着が確認されました。
歯周ポケットも深く、中程度の歯周病と診断。将来的には歯を失うリスクが高い状態でした。
福岡市西区や糸島市でも、こうした歯周病による歯のグラつきや口臭でお悩みの方は少なくありません。精密な歯周検査
治療内容
スケーリング(歯石除去)
ルートプレーニング(根面の清掃)
歯科衛生士によるブラッシング指導と継続的なモチベーションサポート
治療期間は約半年にわたり、患者さんも地道にホームケアをがんばってくださいました。
■治療後の変化
歯ぐきが引き締まり、出血や腫れが改善
歯のグラつきも軽減
何より「子どもに口臭を指摘されなくなりました!」といううれしいお声をいただきました
料金 保険適用
備考 歯周病治療は、私たち歯科医師・歯科衛生士だけでは完結しません。
何よりも、患者さんご自身の「治したい」というお気持ちが大切です。
今回の患者さんも、ご自身の努力があってこそ、ここまで大きく改善されました。
私たちは、そんな想いに全力で寄り添い、全身全霊でサポートいたします。
福岡市西区・糸島市で歯周病治療をお探しの方へ
歯ぐきの腫れ・出血・歯のグラつき・口臭など、気になる症状はありませんか?
放っておくと、歯を失う原因になることもある歯周病。
しかし、正しい診断と根気強いケアで、改善は十分に可能です。
「まだ間に合うかな…」と不安な方も、ぜひ一度、当院までご相談ください -
エアフローで快適に。予防中心のクリーニングを

before

after
年齢 30代 性別 男性 主訴 主訴は「歯のメンテナンスをしておきたい」とのことで、
さっそく初回では精密な検査とカウンセリングを行いました。治療 初診では、しっかりとお口全体をチェック
メンテナンスといっても、最初は現状を正確に把握することが大切。
当院では、保険診療のルールに則り、
歯ぐきの状態(歯周ポケットの測定)
歯の動揺や磨き残しの確認
レントゲンやお口の写真撮影
などを丁寧に行い、結果をわかりやすくご説明しました。
患者さまも「こんなに詳しく見てもらえると思わなかった」と安心された様子でした。
2回目以降、保険適用でやさしくケア
お口の状態に合わせて、2回目からスケーリング(歯石取り)をスタート。
また、着色が気になる部位にはエアフローという機器も使いました。
このエアフローは、微細なパウダーと水の力で
歯にこびりついた細菌の膜(バイオフィルム)をやさしく落とす器具です。
結果として、気になっていた歯の着色も自然に取れ、
患者さまからは「歯が明るくなった気がする!気持ちいいですね」と喜びのお声も。料金 保険診療(当日にキレイにしてほしいや、検査の希望がなく着色取りのみの希望の場合は美容治療になりますので自費治療になります) 備考 本来の目的は「健康なお口を維持すること」
このように、当院ではお口全体の健康を守ることを第一に考えています。
その過程で、結果的に歯がキレイになることもある。
それは、あくまで“自然な副産物”です。
見た目だけでなく、歯ぐきや歯を内側から整えることが、将来のお口の健康につながります。
-
根管治療虫歯治療
他院にてインプラントしかないと言われた症例(抜歯再植)

before

after
年齢 50 性別 男性 主訴 「奥歯が割れてしまった」と他院で診断され、抜歯・インプラント治療を提案されたものの、他に方法はないかと当院にご相談にいらっしゃいました。 治療 ■ 破折歯に対して“自分の歯を残す”選択肢
診査・診断の結果、確かに歯根に破折線が認められる状態でした。
通常であれば抜歯となり、インプラントやブリッジといった補綴治療が選択肢に挙がります。
しかし、この患者さんには 親知らずが良い状態で残っていた ため、それを活用して抜歯再植という方法を提案しました。
保存不可の歯を抜歯し、隣にある親知らずを移植します。その後根管治療を行い経過を見て被せ物を行います
(当院では根管治療の際は保険治療でも原則ラバーダムを行います)
料金 保険診療 備考 抜歯=インプラント、ではありません
破折歯や重度の感染で「抜歯」と診断されても、条件が整えば**“歯を活かす”選択肢**も存在します。
✔ 親知らずが残っている
✔ 歯をできるだけ残したい
✔ 経済的な負担を抑えたい
そんな方には、抜歯再植という治療法を一度知っていただきたいと思っています。
最新症例は、Instagramでもご覧いただけます。ぜひチェックしてみてください!
池尻歯科医院 Instagramはこちら -
ダイレクトボンディング

before

after
年齢 40 主訴 歯が欠けた 治療 ダイレクトボンディングにて治療 料金 6万円 備考 治療時間が通常より長くかかる場合がございます(1時間半程度) -
精密な審美治療を求めるあなたへ 〜ダイレクトボンディングという選択〜

before

after
年齢 35歳 性別 男性 主訴 「虫歯がないか確認してほしい」——このようなご相談で来院された35歳の男性。
特に痛みなどの自覚症状はなく、見た目にも問題はないように思えました。しかし、精密な検査の結果、奥歯の内部で大きく進行した虫歯が見つかりました。外から見える部分はごく小さな穴でしたが、中では大きく広がり、歯の構造が大きく損なわれていたのです。治療 治療の選択肢:保険治療 vs. ダイレクトボンディング
患者さまにお伝えした治療の選択肢は以下の2つでした。
保険治療(クラウン修復)
虫歯を削り、銀歯やCAD/CAM冠を装着
歯の削る量が多くなる
保険適用で費用が抑えられる
自費治療(ダイレクトボンディング)
高品質なコンポジットレジンを使用し、歯の形態を精密に修復
健全な歯質をできるだけ残せる
審美的にも自然で長持ちしやすい
保険治療では大きく削ってクラウンを被せる必要がありましたが、ダイレクトボンディングなら最小限の削除で歯を修復できるというメリットがあります。
選ばれた治療:ダイレクトボンディング
患者さまは「なるべく自分の歯を残したい」「銀歯にはしたくない」という思いから、ダイレクトボンディングを選択。
治療は1回の来院で完了し、天然歯と見分けがつかないほどの自然な仕上がりになりました。見た目の美しさだけでなく、噛み合わせも精密に調整し、機能的にも違和感のない修復を実現。
料金 6万円 備考 見た目に問題がなくても、内部で進行する虫歯は決して珍しくありません。
「銀歯は避けたい」「できるだけ歯を削りたくない」
このような考えをお持ちの方には、ダイレクトボンディングが理想的な選択肢となります。健康な歯をできるだけ残しながら、美しさと機能性を兼ね備えた治療を受けてみませんか?
当院では精密な審美治療を提供し、患者さまの大切な歯を守るお手伝いをしております。気になる症状がある方は、お気軽にご相談ください。


